Ortodoncia para Todas las Edades: Consigue tu Sonrisa Perfecta y Saludable

Alineamos tus dientes y corregimos tu mordida para transformar tu estética y tu salud bucodental. Con la última tecnología en brackets y ortodoncia invisible, tenemos la solución perfecta para ti.

Ortodoncia en Platja d’Aro (Girona):
Alinea y Transforma tu Sonrisa con Confianza

¿Sueñas con una sonrisa perfectamente alineada que te haga sentir seguridad al hablar, comer y reír?

En Llistosella Dental, somos tu clínica dental en Platja d’aro (Girona) especializada en ortodoncia para todas las edades.
Corregir la posición de tus dientes no solo mejora tu estética, sino que optimiza tu salud bucal y tu calidad de vida.
Descubre cómo nuestros ortodoncistas expertos pueden ayudarte a conseguir la sonrisa que siempre has deseado.

Ortodoncia: La Solución para una Sonrisa Perfecta y Saludable

La ortodoncia es la rama de la odontología dedicada a corregir la posición de los dientes y maxilares mal alineados. 

Se trata de un proceso que, mediante el uso de diferentes aparatos, aplica fuerzas suaves y continuas para mover los dientes a su posición ideal. 

El objetivo no es solo estético; también busca mejorar la mordida, la masticación, el habla y la higiene oral. Existen varios tipos de ortodoncia, adaptados a las necesidades y preferencias de cada paciente, desde opciones discretas hasta soluciones altamente eficaces. 

Nuestro equipo te guiará para encontrar la mejor para ti.

Beneficios Clave de la Ortodoncia

Es mucho más que Estética:

Todas las Ventajas de Corregir la Posición de Tus Dientes

  • Aumento de la Autoestima y Calidad de Vida: Lograr una sonrisa perfectamente alineada aumentará tu confianza, permitiéndote sonreír sin complejos y mejorar tus interacciones sociales y personales.
  • Mejora de la Salud Bucal: Los dientes correctamente alineados son más fáciles de cepillar y usar hilo dental, reduciendo el riesgo de caries, enfermedades de las encías (gingivitis y periodontitis) y el mal aliento.
  • Funcionalidad Óptima: Una mordida correcta mejora la masticación, lo que contribuye a una mejor digestión. También puede aliviar tensiones en la mandíbula y prevenir dolores de cabeza relacionados con la maloclusión.
  • Prevención de Desgaste Dental Anormal: Los dientes mal alineados pueden sufrir un desgaste excesivo e irregular. La ortodoncia distribuye las fuerzas de la mordida de manera uniforme, protegiendo tus dientes a largo plazo.
  • Mejora del Habla: En algunos casos, la malposición dental puede afectar la pronunciación de ciertas palabras. La ortodoncia puede corregir estos problemas, mejorando tu claridad al hablar.
  • Preservación de la Estructura Facial: Una mordida incorrecta puede, con el tiempo, alterar la forma de tu rostro. La ortodoncia contribuye a mantener una estructura facial armónica y saludable.

¿Eres un Buen Candidato para Llevar Ortodoncia?

Descubre Qué Tipo de Ortodoncia se Adapta Mejor a Tu Maloclusión

Entre los tipos de ortodoncia más populares y efectivos que ofrecemos se incluyen:

  • Ortodoncia Invisible: Alineadores transparentes y removibles, ideales para quienes buscan discreción.
  • Brackets Metálicos: La opción tradicional, muy eficaz y económica.
  • Brackets Estéticos (Cerámica y Zafiro): Para quienes desean una opción más discreta que se mimetiza con el color del diente.
  • Ortodoncia Infantil y Juvenil: Tratamientos específicos para guiar el crecimiento y desarrollo en los más jóvenes.

Nuestro Proceso de Ortodoncia en Llistosella Dental: Paso a Paso Hacia Tu Nueva Sonrisa

Tu Tratamiento de Ortodoncia: Un Camino Planificado Hacia el Éxito

  1. Diagnóstico y Planificación 3D: Tu primera visita es fundamental. Realizamos un estudio exhaustivo que incluye radiografías digitales (ortopantomografía y telerradiografía), fotografías intraorales y extraorales, y un escaneo intraoral 3D preciso de tu boca. Con estos datos, utilizamos software avanzado para crear un plan de tratamiento de ortodoncia detallado y predecible, mostrando incluso cómo lucirá tu sonrisa final.
  2. Colocación de la aparatología: Dependiendo del tipo de tratamiento de ortodoncia escogido o bien colocaremos tus Brackets si es ortodoncia convencional o te entregaremos tus férulas si es ortodoncia invisible.
  3. Fase Activa del Tratamiento y Ajustes Periódicos: Realizaremos un control exhaustivo de la evolución de tu tratamiento con visitas periódicas.
  4. Fase de Retención: Una vez finalizada la parte activa de tratamiento. Colocaremos un retenedores para que dicho tratamiento se mantenga en el tiempo.
  5. Seguimiento a Largo Plazo:  En Llistosella Dental aunque hayas acabado tu tratamiento de Ortodoncia seguimos comprometidos con tu Salud Bucal por lo que realizaremos controles para valorar la posición de tus dientes y tu Salud Bucodental.

 

Conoce a Nuestro Equipo de Ortodoncia ¿Por Qué Elegir Llistosella Dental?

Confía en la Experiencia y la Tecnología de Vanguardia en Llistosella Dental.

En Llistosella Dental, tu sonrisa está en las mejores manos. Nuestro equipo de ortodoncistas expertos, liderado por la Dra. Mar Luján Climent, cuenta con una sólida formación y años de experiencia dedicados exclusivamente a la ortodoncia.

Estamos orgullosos de:

  • Perfil de la Ortodoncista: La Dra. Mar Luján tiene una amplia trayectoria. Licenciada en Odontología por la Universidad de Barcelona en 1999, Doctora en Odontología “Excelente cum Laude” en la UB. Postgraduada en Ortodoncia, miembro de la Sociedad Española de Ortodoncia (SEDO). Su filosofía de trabajo se centra en la precisión, la seguridad y un trato cercano y empático con cada paciente.
  • Tecnología y Equipamiento Avanzado: Invertimos constantemente en la tecnología más vanguardista, incluyendo escáneres intraorales 3D (eliminando las incómodas impresiones con pasta), radiografías digitales de baja dosis y software de planificación digital de tratamientos. Esto nos permite realizar diagnósticos más precisos y tratamientos más cómodos, rápidos y eficientes.
  • Enfoque Centrado en el Paciente: Entendemos que el tratamiento de ortodoncia es un viaje personal. Por ello, ofrecemos un trato cercano y humano, explicando cada paso del proceso en detalle y asegurando un ambiente confortable y relajado. Tu tranquilidad y bienestar son nuestra prioridad.
  • Opciones de Financiación Flexibles: Para que el acceso a una sonrisa perfecta no sea un obstáculo, te ofrecemos diversas opciones de financiación adaptadas a tus necesidades, facilitando tu tratamiento de ortodoncia en Platja D’Aro

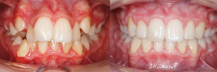
Casos de Éxito, Sonrisas Transformadas

Sonrisas Reales, Vidas Transformadas: Casos de Éxito con Ortodoncia

«Déjate inspirar por las historias de nuestros pacientes. Aquí puedes ver el antes y el después de personas que, como tú, han logrado la sonrisa de sus sueños gracias a los tratamientos de ortodoncia en Llistosella Dental. ¡Tu transformación puede ser la siguiente!»

Un Equipo de Expertos Dedicado a tu Bienestar

En Clínica Dental Llistosella, el éxito de tu tratamientos de ortodoncia se basa en la sinergia de nuestro equipo. La dirección y vasta experiencia en rehabilitación oral y oclusión del Dr. Llistosella se une a la alta especialización en ortodoncia y estética dental de la Dra. Luján para ofrecerte un diagnóstico y tratamiento inmejorables.

Dr. Ramon Llistosella Vindel

Colegiado 4.569. COEC Catalunya

Con un Máster en Oclusión y Rehabilitación por la Universidad de Barcelona y un Máster en Implantología avanzada por la Universidad de UCLA, el Dr. Llistosella lidera el enfoque clínico, asegurando que cada plan de tratamiento se ejecute con la máxima precisión. Su extensa formación internacional (Suecia, UCLA, Brasil) y su experiencia como rehabilitador de mutilados orales (Baurú -Brasil-), director de clínica y consultor de laboratorio de prótesis garantizan una visión integral y resultados de la más alta calidad en los casos más complejos.

Dra. Mar Luján Climent

Colegiada 3.376. COEC Catalunya

Como Doctora en Odontología (Cum Laude), Máster en Ortodoncia y Ortopedia y acreditada en múltiples sistemas de Ortodoncia Invisible, la Dra. Luján es nuestra referencia en el diagnóstico y tratamiento de las maloclusiones dentales. Con su amplia actividad investigadora y formación continuada le permiten identificar desde temprana edad, y corregir maloclusiones que en futuro pudieran derivar en problemas mayores.

La Excelencia y Tecnología que tu Salud Merece

+80 Años de Trayectoria

Somos un centro de referencia en rehabilitación oral con más de 5.000 pacientes anuales.

Tecnología de Vanguardia

Usamos radiografías digitales y sistemas CAD-CAM para diagnósticos precisos y tratamientos más cómodos y eficaces.

Laboratorio Protésico Propio

Garantizamos la máxima calidad y ajuste perfecto en nuestras férulas y prótesis, diseñadas a medida por nuestro equipo.

Calidad y Compromiso

Actuamos con honestidad y profesionalidad, utilizando solo materiales de la más alta calidad para garantizar tu salud y la durabilidad de los resultados.

Resolvemos tus Dudas

¿Duele el tratamiento de ortodoncia?

Es normal sentir una ligera presión o molestia los días posteriores a la colocación de los aparatos o a los ajustes, pero desaparece rápidamente. No es un dolor agudo.

La duración varía mucho según la complejidad de cada caso, pero la media suele estar entre 12 y 24 meses. En tu estudio inicial te daremos una estimación precisa.

¡No! Nunca es tarde para alinear tu sonrisa. Tratamos a niños, adolescentes y adultos con excelentes resultados. Lo único necesario es tener unas encías y un hueso sanos.

La fase de retención es tan importante como la de tratamiento. Para mantener los resultados, se colocan unos retenedores (fijos o removibles) que evitan que los dientes vuelvan a su posición original.

OTROS TRATAMIENTOS

SERVICIOS DENTALES

Cirugía e Implantología

Rehabilitamos toda la boca en 24 horas

Estética Dental

Diseñamos tu sonrisa

Prótesis

Tu sonrisa de nuevo

Odontopediatría

Odontología para niños

ATM

Problemas en la articulación de la mandíbula

Odontología Conservadora

Tratamientos conservadores y preventivos

PIDE TU CITA​

    Ubicación : Av. del Cavall Bernat, 81 17250 Platja d’Aro, Girona

    Teléfono : 972 129 091

    Correo electrónico : info@llistoselladental.com

     Lunes, Martes y Jueves: 9.30 AM – 1.30 PM / 4:00PM – 8:00PM

     Miercoles y Viernes :  9.00 AM – 5.00 PM

     Sabado y Domingo :  Dia festivo

Servicio de urgencias 24 horas teléfono 614 68 73 59

Tu salud bucodental es nuestra prioridad

No olvides revisar tu boca al menos una vez al año. De esta manera nuestros profesionales te ayudaran a prevenir futuros problemas bucodentales.